C46 Саркома Капоши, МКБ-10
- C46.0 Саркома Капоши кожи
- C46.1 Саркома Капоши мягких тканей
- C46.2 Саркома Капоши неба
- C46.3 Саркома Капоши лимфатических узлов
- C46.7 Саркома Капоши других локализаций
- C46.8 Саркома Капоши множественных органов
- C46.9 Саркома Капоши неуточненной локализации
Отредактировано: 02.04.2024
д.м.н., проф. Демидов Л.В., к.м.н. Харкевич Г.Ю., к.м.н. Маркина И.Г.
ГУ РОНЦ им. Н.Н. Блохина РАМН
д.м.н., проф. Молочков В.А., к.м.н. Снарская Е.С., д.м.н. Лезвинская Е.М., д.м.н. Молочков А.В., д.м.н., проф. Казанцева И.А.
РМАПО Министерства здравоохранения и социального развития РФ
Предрак кожи. Болезнь Боуэна. Эритроплазия Кейра. Плоскоклеточный рак кожи. Базалиома. Метатипический рак кожи. Кожная и внекожная формы меланомы. Злокачественные лимфомы кожи. Саркома Капоши
Саркома Капоши (СК) — злокачественная опухоль с мультицентрическим характером роста, исходящая из адвентиции кровеносных и лимфатических сосудов.
Этиологическим агентом СК является вирус герпеса человека VIII типа (HHV–8), а важнейшим фактором патогенеза — нарушение противоопухолевого иммунитета с активацией процесса ангиогенеза и подавлением процесса апоптоза активированных эндотелиальных клеток. От характера иммунных нарушений зависит течение различных типов этого заболевания.
Клинически выделяют 4 типа СК: идиопатический, иммуносупрессивный, эндемический и СПИД-ассоциированный.
Идиопатический (классический) тип
Развивается у людей старше 50 лет, хотя в последние годы отмечается тенденция к снижению возраста заболевших. Мужчины болеют в 9–15 раз чаще женщин.
Таблица 10
Методы лечения ЗЛК
| Вид терапии | Т-клеточные ЗЛК | В-клеточные ЗЛК | ||||||||||
| ППС | ГМ1 | ГМ2 | ГМ3 | СС | ПР | ЛП | ККЛ | ФЛ | ЛМЗ | ИЦ | ККЛ | |
| УФ-облучение | +++ | ++ | ; | ; | ; | ; | ; | ; | ; | ; | ; | ; |
| Глюкокортикоиды ;(наружная терапия) | ++ | ++ | ; | ; | ; | ; | ; | ; | ; | ; | ; | ; |
| Кармустин, эмбихин, проспидия хлорид ;(наружная терапия) | ; | + | ++ | ; | ; | ; | ; | ; | + | + | + | ; |
| PUVA-терапия | +++ | +++ | + | ; | +++ | ; | ++ | ; | ; | ; | ; | ; |
| Лучевая терапия | ; | ; | +++ | ++ | ; | +++ | ; | ++ | ++ | ++ | ++ | +++ |
| Хирургическое лечение | ; | ; | ; | ++ | ; | +++ | + | + | ++ | ++ | ++ | + |
| Фотоферез | ; | ; | + | + | ++ | ; | ; | ; | ; | ; | ; | ; |
| Электронно-лучевая терапия | ; | + | ++ | ; | ++ | ; | ; | ; | ; | ; | ; | ; |
| Ретиноиды | ; | + | + | + | + | ; | + | ; | ; | ; | ; | ; |
| Рекомбинантные ИФ-альфа | ; | + | ++ | ++ | ++ | ; | ; | ++ | + | + | + | ++ |
| Метотрексат | ; | ; | + | ++ | + | ; | +++ | + | + | + | + | ; |
| Хлорамбуцил ;(низкие дозы) | ; | + | ++ | ; | +++ | ; | ++ | ; | ++ | ++ | ++ | ; |
| Пентостатин | ; | ; | ++ | ++ | ; | ; | ; | ; | ; | ; | ; | ; |
| Флударабин | ; | ; | ++ | ++ | ++ | ; | ; | ; | ; | ; | ; | ; |
| Системная полихиимотерапия | ; | ; | + | ++ | ++ | ; | ; | +++ | + | + | + | +++ |
| Системная терапия ;глюкокортикоидами | ; | ; | + | ++ | ++ | ; | ; | + | + | + | + | ; |
| МКА | ; | ; | + | + | + | ; | ; | ++ | ; | ; | ; | ; |
| ИЛ-2 (высокие дозы) | ; | ; | + | ++ | ++ | ; | ; | ++ | ; | ; | ; | + |
| Аутологичная трансплантация костного мозга | ; | ; | ; | ; | ; | ; | ; | ; | ; | ; | ; | + |
ППС — парапсориаз; ГМ1 — грибовидный микоз, экзематозная стадия; ГМ2 — грибовидный микоз, бляшечная стадия; ГМ3— грибовидный микоз, опухолевая стадия; СС — синдром Сезари; ПР — педжетоидный ретикулез; ЛП — лимфоматоидный папулез; ККЛ — крупноклеточная лимфома; ФЛ — фолликулярная лимфома; ЛМЗ — лимфома маргинальной зоны; ИЦ — иммуноцитома
+++ терапия выбора
++ используются как альтернативные методы
+ используются при неэффективности других методов лечения
Первичные высыпания при идиопатическом типе CК в подавляющем большинстве случаев локализуются в области стоп и голеней и проявляются пятнами неправильной формы красно-фиолетового или красно-коричневого цвета (см. рис. 33 на цветной вклейке), а также папулами, превращающимися в бляшки или узлы (см. рис. 34 на цветной вклейке). На поверхности очагов появляются телеангиэктазии, геморрагии, гиперкератотические наслоения, бородавчатые разрастания, участки пигментации или рубцовой атрофии. Элементы могут развиться на месте травмы (феномен Кебнера). Высыпаниям может предшествовать или сопутствовать лимфостаз (обычно дистального отдела конечности), вследствие которого кожа уплотняется, становится отечной, приобретает синюшную окраску. Нередко развивается слоновость. Очаги поражения обычно симметричные и вначале асимптомные, в дальнейшем могут возникать парестезии, при изъязвлении появляется боль. По мере прогрессирования заболевания в патологический процесс вовлекаются все новые участки кожного покрова: верхние конечности, туловище, лицо, могут вовлекаться лимфатические узлы (чаще реактивный, а не неопластический характер) и слизистые оболочки полости рта, половых органов, глаз. В терминальной стадии заболевания поражаются висцеральные органы.

Рисунок 33. Пятнистый элемент саркомы Капоши в области бедра

Рисунок 34. Узловой элемент саркомы Капоши в области стопы
Идиопатический тип СК может протекать остро, подостро и хронически.
Острая ;форма отличается бурным началом и прогрессирующим течением, общей интоксикацией, высокой температурой тела и генерализацией кожных проявлений — появлением множественных пятен, узелков или узлов в области конечностей, лица, туловища, слизистых оболочек, увеличением лимфатических узлов, поражением внутренних органов. Эта форма болезни чаще встречается в молодом или очень пожилом возрасте. Продолжительность жизни при ней составляет от 2 мес до 2 лет. Летальный исход наступает на фоне общей интоксикации и кахексии.
При ;подострой ;форме клинические проявления менее выражены; процесс прогрессирует медленнее и приводит к летальному исходу в среднем в течение 2–3 лет после начала болезни.
Наиболее частая ;хроническая ;форма CК характеризуется относительно доброкачественным течением. Ей присущи медленное прогрессирование, ограниченный характер поражения и длительное течение — в среднем 6–10 лет, а иногда и до 15–20 лет. Лишь на поздних сроках она сопровождается появлением узловых элементов, специфическим поражением лимфатических узлов и внутренних органов. Летальный исход обычно наступает от сопутствующих заболеваний или осложнений, связанных с проводимой терапией.
Иммуносупрессивный (ятрогенный) тип
Обусловлен воздействием иммуносупрессивных препаратов, используемых для предотвращения отторжения трансплантата внутренних органов, или иммуносупрессивной терапией хронических соматических заболеваний. Этот тип СК встречается в более молодом возрасте — 35–50 лет. Соотношение мужчин и женщин составляет 2:1. Диагностируется в среднем через 29–31 мес после начала иммуносупрессивной терапии.
Для иммуносупрессивного типа СК характерны выраженные нарушения систем клеточного и гуморального иммунитета (снижение количества CD4-клеток, иммунорегуляторного индекса, CD71-лимфоцитов и моноцитов, повышение количества CD95 лимфоцитов и нейтрофилов), степень которых, по-видимому, определяет агрессивность патологического процесса и позволяет прогнозировать его течение. С другой стороны, при этом типе заболевания сохраняется функциональная активность иммунной системы, что может объяснить феномен спонтанного регресса патологического процесса после прекращения иммуносупрессивной терапии.
Кожные поражения при иммуносупрессивном типе СК вначале бывают довольно ограниченными (реже, чем при идиопатическом типе этого заболевания поражаются нижние конечности), но затем быстро принимают распространенный характер с поражением слизистых оболочек (см. рис. 35 на цветной вклейке), лимфатических узлов и внутренних органов, что может привести к летальному исходу.

Рисунок 35. Узловые элементы саркомы Капоши на слизистой оболочке полости рта
Эндемический (африканский) тип
Наряду со СПИД-ассоциированным типом является самым частым злокачественным новообразованием в Центральной Африке (Уганда, Замбия и др.). Встречается у взрослых и детей. Соотношение мужчин и женщин оценивается от 3:1 до 10:1.
Выделяют доброкачественную узловую разновидность заболевания, встречающуюся у взрослых и по клинической картине и течению не отличающуюся от СК идиопатического типа, а также молниеносную лимфаденопатическую — поражающую преимущественно детей, сопровождающуюся высокой частотой поражения лимфатических узлов, внутренних органов, костей, минимальными кожными проявлениями и летальностью через 2–3 г. Обе разновидности эндемического типа СК не имеют гистологических различий.
Средняя продолжительность жизни при эндемической СК оценивается в 6,5–26 мес.
СПИД-ассоциированный (эпидемический) тип
СК (наряду с оппортунистическими инфекциями и другими формами злокачественных новообразований) развивается в условиях выраженного иммунного дефицита и количества СD4+ Т-хелперов менее 500 клеток/мм3. Поражает людей более молодого (в среднем в 37,7 лет) возраста, чем при идиопатическом типе СК, как правило, мужчин-гомосексуалистов.
Ранние элементы на коже характеризуются мелкими ярко-розовыми или голубоватыми пятнами, похожими на укусы насекомых, плотными коричневатыми папулами или бляшками с красным оттенком, которые трансформируются в узлы нередко изъязвляющиеся и болезненные. Лимфостаз может возникать как в области конечностей, так и мошонки, полового члена, лица, век.
Важными клиническими особенностями СПИД-ассоциированной СК являются: первичное поражение лица, слизистых оболочек и верхних конечностей (излюбленной локализацией патологического процесса считаются кончик носа и твердое небо). Характер элементов на туловище овальный или удлиненный (параллельно линиям Лангера). При этом нижние конечности поражаются довольно редко и не столь интенсивно как при идиопатическом типе СК. При отсутствии лечения СПИД-ассоциированный тип характеризуется быстрой диссеминацией высыпаний. У 75% больных поражаются внутренние органы, чаще всего органы пищеварительного тракта (в первую очередь желудок и 12ПК) и легкие. Реже при СПИД-ассоциированной СК поражаются печень, селезенка, надпочечники, поджелудочная железа, яички и очень редко — головной мозг. Лишь в 5% случаев СПИД-ассоциированная СК протекает без поражения кожи.
Летальный исход чаще связан с другими проявлениями СПИДа, а не с ассоциированной с ним СК.
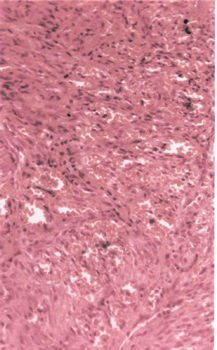
Патоморфологическая картина
При всех клинических вариантах СК патоморфологическая картина однотипна (см. рис. 36 на цветной вклейке) и характеризуется сочетанием 3 основных признаков:

Рисунок 36. Микропрепарат. Узловой элемент саркомы Капоши. Пролиферация веретенообразных клеток вокруг примитивных сосудистых пространств, окраска гематоксилин-эозин, увеличение 250 раз
— хаотичным незавершенным ангиогенезом,
— пролиферацией веретенообразных клеток с маркерными признаками эндотелия,
— иммунноклеточной монононуклеарной инфильтрацией.
Для типичных случаев CК не характерны полиморфизм и высокая митотическая активность веретенообразных клеток. Вместе с тем иногда при гистологическом исследовании можно отметить признаки более высокой «агрессивности» опухоли в виде значительной атипии и полиморфизма ядер веретенообразных клеток, большего количества фигур митоза. Особенно часто такие изменения регистрируются при эндемической CК. При CК, ассоциированной со СПИДом, описаны изменения, которые трудно отличить от ангиосаркомы.
Диагноз
Устанавливается на основании клинических, анамнестических, лабораторных (ПЦР или непрямая иммунофлуоресценция для выявления маркеров HHV–8) данных и подтверждается гистологически.
Дифференциальный диагноз СК в первую очередь должен проводиться с гетерогенной группой сосудистых новообразований (ангиомы, гемангиомы, лимфангиома, гломусная опухоль, ангиобластома, ангиосаркома, бактериальный ангиоматоз, пиогенная гранулема и др.), которые клинически и гистологически могут симулировать пятнистые, папулезные и узловые элементы СК.
Наличие положительной реакции на CD31 (антиген эндотелия кровеносных сосудов) помогает отличить даже низкодифференцированные варианты СК от фибросаркомы, лейомиосаркомы, монофазной синовиальной саркомы и десмопластической меланомы.
Лечение
Выбор метода лечения зависит от типа заболевания и формы его течения.
Метод лучевой терапии может с успехом применяться при лечении больных с единичными опухолевыми элементами при всех типах и формах СК. Наиболее часто применяются гамма-терапия с использованием излучения радиоактивного ;60Со и терапия пучком электронов линейных ускорителей высокой энергии. СОД обычно составляет 30–40 Гр. При сравнении эффективности и переносимости различных методов лучевой терапии, некоторое предпочтение отдается терапии пучком ускоренных электронов высокой энергии.
При ограниченных поражениях СК также могут применяться хирургические методы лечения, криотерапия жидким азотом, фотодинамическая терапия, внутриочаговые инъекции цитостатических препаратов.
При хронической форме идиопатического типа СК с наличием распространенных высыпаний лечение должно быть комплексным с применением цитостатиков и препаратов рекомбинантного ИФ-альфа. Наиболее эффективен метод с использованием в/м введения эпидермотропного цитостатика ;проспидия хлорида ;(по 100 мг/сут, на курс — 3,0 г) и ректальных суппозиториев ;интерферона альфа–2 ;(по 3 млн МЕ/сут, на курс — 60 млн МЕ).
При подострой форме идиопатического типа СК эффективна терапия препаратами рекомбинантного ИФ-альфа (интерферон альфа–2б ;в/м по 3 млн МЕ/сут, на курс — до 300 млн МЕ) на фоне фотофереза (3 курса, каждый курс — 4 процедуры).
Терапевтическая тактика при иммуносупрессивном типе СК основана на максимально возможном снижении доз или полной отмене ятрогенной иммуносупрессии, что может привести к регрессу патологического процесса. На фоне снижения иммуносупрессивного воздействия при отсутствии противопоказаний используют иммунотропные препараты, в частности рекомбинантный ИФ (интерферон альфа–2а ;— лимфотропно в голень, по 3 млн МЕ, через день, на курс — 15 млн МЕ), в сочетании с его индукторами (метилглюкамина акридонацетат ;— по 2 мл, через день, на курс — 10 мл), а при наличии противопоказаний к препаратам ИФ (реципиенты органного аллотрансплантата) — назначают цитостатические препараты (проспидия хлорид ;— в/м, по 100 мг/сут, на курс — 3,0–4,0 г).
При СПИД-ассоциированной СК применяют специфические антиретровирусные препараты (зидовудин, ;ставудин ;и др.), которые на ранних сроках заболевания (до 8–12 нед) могут привести к регрессу проявлений СК. При неэффективности такой терапии, а также на более поздних сроках болезни присоединяют комбинацию цитостатических препаратов: ;винбластин ;— в/в, по 100 мкг/кг, с последующим еженедельным увеличением на 50 мкг/кг №3; ;блеомицин ;— в/в, по 30 мг, 3 раза в неделю, №9; ;эпирубицин ;— в/в, по 0,56 мг/кг, №4 или системное введение рекомбинантного ИФ-альфа: наиболее эффективна, по данным М.Н. Папуашвили (1999), комбинация ;интерферона альфа–2б ;(в/м, по 3 млн МЕ, на курс — 30 млн МЕ), ;проспидия хлорида ;(в/м, по 300 мг, 2 раза в неделю, №6), ;винкристина ;(в/в, по 2 мг №3) и ;нуклеоспермата натрия ;(п/к, по 2 мл 1,5% раствора через день №10). При СПИД-ассоциированной СК также используют липосомальный инкапсулированный ;доксорубицин ;(в/в, по 20 мг/м2, в течение 30 мин, 1 раз в 3 недели) или ;паклитаксел ;(в/в, по 135 мг/м2, в течение 24 ч, 1 раз в 3 недели).
Первичная профилактика СК заключается в активном выявлении больных и групп повышенного риска по развитию СК. Особое внимание должно уделяться пациентам, длительно получающим иммуносупрессивную терапию. В этих группах актуальным представляется проведение скрининговых исследований для выявления лиц инфицированных HHV–8. В связи с предполагаемым половым путем передачи HHV–8 и обнаружением этого вируса в эякуляте вероятность развития СК должна снижаться при практике безопасного секса (с использованием мер барьерной контрацепции).
Вторичная профилактика включает диспансерное наблюдение за больными в целях предотвращения рецидивов, осложнений после лечения, реабилитации больных.
Литература
Каламкарян А.А. и др. Саркома Капоши. Новосибирск: Наука, 1986.
Молочков А.В. и др. Саркома Капоши.— М.: Бином, 2002.
Braun-Falco O. et al. Dermatology — Springer-Verlag.— 2nd ed.— Berlin, 2000.
Chang Y. et al. ...Science.— 1994.— V. 266.— Р.1865–1869.
Penn I. ...Transplantation.— 1995.— V. 60.— Р.1485–1491.
Schwartz R.A. ...J. Am. Acad. Dermatol.— 1996.— V. 34.— Р. 804–814.
Описание проверено экспертом
Оцените статью:
- Саркома Капоши у больных СПИДом
- Саркома Капоши на фоне СПИД
- Саркома Капоши на фоне СПИДа
- Саркома Капоши при СПИДе
- СПИД-ассоциированная саркома Капоши
- Вариолиформный пустулез Капоши
- Эндотелиосаркома
- Капоши ангиоретикулез
- Капоши ангиосаркоматоз
- Капоши гемангиосаркома
- Капоши геморрагическая саркома
- Капоши множественная геморрагическая саркома
- Капоши телеангиэктатическая псевдосаркома
Полужирным шрифтом выделены лекарства, входящие в справочники текущего года. Рядом с названием препарата может быть указан ежегодный уровень индекса информационного спроса (показатель, который отражает степень интереса потребителей к информации о лекарстве).
саркома капоши
Саркома Капоши, поддающаяся местному лечению, Саркома Капоши, поддающаяся системному лечению интерфероном альфа, у пациентов с саркомой Капоши, обусловленной СПИДом, Саркома Капоши,