Q04.6 Врожденные церебральные кисты, МКБ-10
Отредактировано: 02.04.2024
Коллоидные кисты представляют собой неопухолевые образования округлой формы, обычно с вязким содержимым, располагающиеся в области межжелудочковых отверстий Монро и реже в прозрачной перегородке. Коллоидные кисты составляют 0,5% внутричерепных нетравматических объемных образований. Диагностируются обычно в возрасте 20–40 лет. Считается, что коллоидные кисты имеют врожденное происхождение и развиваются из рудиментарного выворота крыши III желудочка. Наследственная предрасположенность до конца не доказана, факторы риска неизвестны. Коллоидные кисты имеют тонкую фиброзную капсулу, выстланную изнутри эпителием. Содержат бесструктурную массу — коллоид, чаще вязкой, реже плотноэластической или, наоборот, жидкой консистенции.
Клиника
Поскольку коллоидные кисты развиваются очень медленно и располагаются в функционально «немой» зоне, первые проявления в виде гипертензионно-гидроцефального синдрома возникают при блокаде кистой отверстий Монро, т.е. обычно при достижении кисты около 1 см в диаметре. Примерно в половине наблюдений коллоидные кисты проявляются признаками преходящей окклюзии ликворных путей (внезапно возникающей головной болью, часто с тошнотой и рвотой, вынужденным положением головы) с удовлетворительным самочувствием и минимальной выраженностью или отсутствием неврологической симптоматики в межприступный период. Иногда коллоидная киста может явиться причиной внезапной смерти больного. В остальных случаях наблюдается постепенное, без окклюзионных приступов, нарастание признаков внутричерепной гипертензии. Сравнительно частый симптом — нарушение памяти.
Диагностика
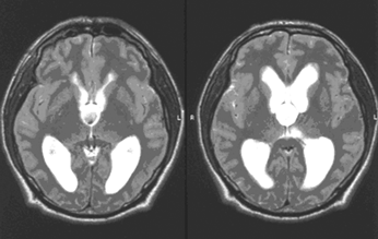
Оптимальный метод диагностики — МРТ, выявляющая округлой формы образование по средней линии в передних отделах III желудочка (рис. 1).

Рисунок 1. МР-томография больного с коллоидной кистой III желудочка, выраженной гидроцефалией (в режиме Т2, аксиальный срез)
Лечение
Коллоидные кисты III желудочка представляют реальную угрозу жизни больного, особенно если заболевание проявилось признаками острой окклюзии ликворных путей. В связи с этим в большинстве случаев хирургическое вмешательство должно быть безотлагательным. Наиболее радикальный и общепринятый метод лечения — транскалезное удаление кисты.
Ось операционного микроскопа ориентируется на бинауральную линию. Мозолистое тело перфорируется между перикалезными артериями на участке около 1 см. Для разведения раны используются тонкие шпатели (5 мм шириной). Таким образом осуществляется вскрытие одного из боковых желудочков. По ходу сосудистого сплетения определяется отверстие Монро, края его осторожно разводятся шпателями и т.о. обнажается боковая поверхность кисты. Тонкая стенка кисты перфорируется, и вязкое коллоидное вещество аспирируется отсосом, более плотные фрагменты коллоида удаляются опухолевым пинцетом. После этого стенка осторожно отделяется от прилежащего сзади сосудистого сплетения как своей, так и противоположной стороны, коагулируются небольшие сосуды, переходящие со стороны сплетения на капсулу, и стенка кисты удаляется целиком. Особое внимание при мобилизации стенки кисты следует обратить на сохранность крупных вен, расположенных у задней стенки отверстия Монро и формирующих венозный угол.
При выраженной гидроцефалии может быть осуществлен транскортикальный доступ в боковой желудочек через премоторную зону, но в сравнении с доступом через мозолистое тело этот подход представляется более травматичным.
Для удаления коллоидных кист иногда используется эндоскопический метод, преимуществ перед транскалезным доступом не имеет.
Некоторыми применяется стереотаксическая пункция кисты и аспирация ее содержимого. Этот метод лечения не радикален, характеризуется высокой частотой осложнений (обусловленных ранением сосудов и кровотечением в желудочковую систему).
Длительный клинический эффект может быть достигнут при использовании ликворошунтирующих операций (вентрикулоперитонеостомия, вентрикулоцистерностомия). Дренирование желудочков должно быть двусторонним. Отрицательная сторона этой операции — коллоидная киста продолжает увеличиваться в размере и со временем вызывает компрессию III желудочка.
В экстренных ситуациях — при развитии симптомов острой ликворной окклюзии и невозможности осуществить прямое удаление коллоидной кисты — показано наложение двустороннего вентрикулярного дренажа.
Удаление коллоидных кист транскалезным доступом приводит к быстрому регрессу имевшихся у больного симптомов внутричерепной гипертензии. Постепенно исчезают и другие симптомы, в т.ч. и нарушения памяти, если они были у больного до операции.
Описание проверено экспертом
Оцените статью:
Полужирным шрифтом выделены лекарства, входящие в справочники текущего года. Рядом с названием препарата может быть указан ежегодный уровень индекса информационного спроса (показатель, который отражает степень интереса потребителей к информации о лекарстве).