D44.5 Шишковидной железы, МКБ-10
Отредактировано: 23.08.2023
К опухолям шишковидной железы (пинеальной области), согласно гистологической классификации ВОЗ, относят герминативные опухоли, опухоли, развивающиеся из ткани шишковидного тела, глиальные опухоли и опухоли другой гистологической природы.
Эти новообразования составляют до 1% всех интракраниальных опухолей, примерно 2/3 случаев — злокачественные.
Герминативные опухоли
Составляют около 30% всех опухолей пинеальной области. Развиваются из эктопических зародышевых клеток. Иногда имеют смешанное строение — в одной опухоли имеются участки герминомы или тератомы в сочетании с элементами эмбриональной карциномы, хориокарциномы, опухоли желточного мешка.
Герминома
Самая распространенная опухоль этой группы. Составляет примерно 0,5% внутричерепных опухолей у европейцев и (по непонятным пока причинам) 3% у жителей Юго-Восточной Азии. Чаще всего встречается у мальчиков в периоде полового созревания. Злокачественная опухоль часто метастазирует в гипоталамическую область и по ликворным пространствам, обычно по эпендиме боковых желудочков. Гистологически аналогична семиноме яичка.
Локализация основного узла в области шишковидной железы ведет к сдавлению четверохолмия (проявляется глазодвигательными нарушениями, наиболее характерен парез взора вверх — симптом Парино) и вторично — водопровода мозга с развитием окклюзионной гидроцефалии и внутричерепной гипертензии.
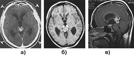
Диагноз устанавливается при МРТ и КТ, верифицируется стереотаксической биопсией. Для этих опухолей наиболее характерна симметричная инфильтрация задних отделов зрительных бугров в сочетании с центральным расположением петрификата, что дает характерную картину “бабочки” с расправленными крыльями. Этот рентгенологический признак наблюдается только при герминомах и не характерен для других опухолей (рис. 1).

Рисунок 1. Герминома шишковидной железы:
Герминомы, так же как и другие герминативные опухоли, могут метастазировать по ликворным пространствам, в белое вещество больших полушарий и в 10–15% случаев в хиазмально-селлярную область.
Опухолевые маркеры абсолютного диагностического значения не имеют (АФП при герминомах отсутствует, но ХГ выявляется в 10% случаев).
Удаление опухоли не улучшает прогноз. Лучевая терапия в СОД 5 Гр вызывает рассасывание герминомы, после чего проводится краниоспинальное облучение в СОД 30 Гр и дополнительно в СОД 10 Гр на пинеальную область. Ремиссия достигается практически в 100% случаев, излечение — в большинстве. Альтернатива лучевому лечению (особенно у детей младше 3 лет) — химиотерапия.
Остальные герминативные опухоли (эмбриональная карцинома, хориокарцинома и опухоль желточного мешка) встречаются очень редко. Являются высокозлокачественными, быстро метастазируют по ликворным пространствам. Вырабатывают онкопротеины (эмбриональная карцинома и опухоль желточного мешка — АФП, хориокарцинома — ХГ).
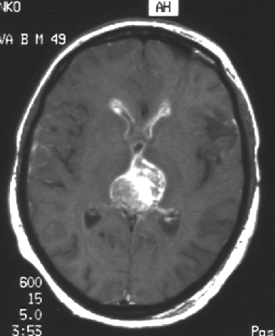
На МРТ обычно имеют вид узла дольчатого строения без четких границ с мелкими кистами в структуре опухоли. Введение гадолиния приводит к гетерогенному усилению МР-сигнала (рис. 2).

Рисунок 2. Хориокарцинома шишковидной железы (МРТ, Т1-взвешенное изображение)
Помимо исследования онкопротеинов, обычно производится стереотаксическая биопсия. При окклюзии водопровода мозга производят шунтирующую операцию.
Лечение — лучевая и химиотерапия. Прогноз неблагоприятный (только у 5% больных продолжительность жизни достигает 2 лет).
Опухоли паренхимы шишковидного тела
Составляют около 25% опухолей пинеальной области. Различают пинеоцитомы и пинеобластомы. Последние относятся к ПНЭО (PNET), отличаются быстрым инфильтративным ростом и склонностью к метастазированию по ликворным пространствам.
Пинеоцитомы — доброкачественные, экспансивно растущие опухоли, нередко с кистозным компонентом.
Пинеоцитомы чаще наблюдаются у женщин, пинеобластомы — у детей обоего пола.
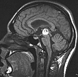
При МРТ пинеоцитома выглядит как хорошо отграниченное образование, иногда с кистозным компонентом, не инфильтрирующее соседние структуры (рис. 3).

Рисунок 3. Пинеоцитома шишковидной железы (МРТ, Т1-взвешенное изображение)
Пинеобластомы имеют вид образования повышенной плотности без четкой границы с прилежащим мозговым веществом, могут определяться участки некроза и очаги кистозной дегенерации.
Глиальные опухоли
Составляют примерно 25% опухолей области шишковидной железы. В основном распространяются в пинеальную область из соседних мозговых структур, и представлены главным образом астроцитомами и реже эпендимомами. Лечатся по тем же принципам, что и глиомы другой локализации.
Другие опухоли
Помимо перечисленных, в пинеальной области могут встречаться тератомы (зрелые и незрелые), холестеатомы и липомы, метастазы, менингиомы и некоторые другие новообразования.
Как уже говорилось в отношении герминативных опухолей, после установки при помощи МРТ диагноза опухоли шишковидной железы производится верификация гистологической природы новообразования с помощью стереотаксической биопсии, в редких случаях выявления отграниченных опухолей без признаков метастазирования возможно удаление опухоли без предварительной биопсии.
При доброкачественных опухолях основной метод лечения — удаление опухоли, исключением могут быть очень медленно прогрессирующие глиомы области крыши среднего мозга.
В настоящее время для удаления объемных образований пинеальной области и области задних отделов III желудочка используются в основном 2 доступа: затылочный супратенториальный с рассечением намета мозжечка и инфратенториальный — между наметом и верхней поверхностью мозжечка. Реже применяется субхороидальный доступ — через крышу III желудочка.
При злокачественных опухолях удаление новообразования существенно не влияет на прогноз и может ухудшить качество жизни больных в послеоперационном периоде за счет развития грубых глазодвигательных нарушений. Однако в некоторых случаях максимально возможное удаление опухоли улучшает показатели выживаемости больных при условии комплексного лечения.
Таким образом, при злокачественном новообразовании области шишковидной железы с признаками метастазирования прямое хирургическое вмешательство противопоказано, при отсутствии метастазов операция возможна, решение принимается нейрохирургом на основании собственного опыта и информированного согласия больного. Для широкой клинической практики прямые вмешательства при злокачественных опухолях области шишковидной железы не рекомендуются.
При наличии у больного со злокачественной опухолью области шишковидной железы окклюзионной гидроцефалии производится разгрузочная операция на ликворной системе — эндоскопическая перфорация дна III желудочка, вентрикулоцистерностомия по Торкильдсену или вентрикулоперитонеостомия. У больных с герминомой и выраженной окклюзионной симптоматикой на дни планирования и начала лучевой или химиотерапии может быть установлен наружный дренаж бокового желудочка; при условии туннелирования катетера под мягкими тканями и использования герметичных дренажных систем риск инфекционных осложнений минимален, а через несколько дней лечения опухоль рассасывается, и дренаж может быть удален.
Прогноз определяется гистологическим диагнозом и варьируется от благоприятного при доброкачественных опухолях и герминоме до крайне неблагоприятного (медиана выживаемости — менее 6 мес) при эмбриональной карциноме, хориокарциноме, опухоли желточного мешка и пинеобластоме.
Описание проверено экспертом
Оцените статью:
Полужирным шрифтом выделены лекарства, входящие в справочники текущего года. Рядом с названием препарата может быть указан ежегодный уровень индекса информационного спроса (показатель, который отражает степень интереса потребителей к информации о лекарстве).