D36.1 Периферических нервов и вегетативной нервной системы, МКБ-10
Отредактировано: 19.09.2023
д.м.н., проф. Древаль О.Н., к.м.н. Пучков В.Л.
РМАПО Министерства здравоохранения и социального развития РФ
Опухоли периферической нервной системы (ПНС) — редкая патология. Могут встречаться в любом возрасте, несколько чаще у взрослых, без половых различий. Обычно поражаются ветви бедренного, малоберцового, срединного и локтевого нервов.
Наиболее распространенный симптом — наличие плотного новообразования, не спаянного с окружающими тканями, которое смещается при пальпации в стороны от проекции нерва, не смещается по его длиннику и остается неподвижным при сокращении прилежащих мышц.
При пальпации могут возникать парестезии в зоне иннервации пораженного нерва. Перкуссия новообразования еще в большей степени усиливает эти ощущения.
Классификация опухолей ПНС основывается на гистологическом диагнозе и отношении опухоли к нервному стволу. Соответственно выделяют:
1) доброкачественные опухоли нервного ствола :
— нейрофиброма,
— шваннома,
— периневрома,
— липома,
— гемангиома,
— лимфангиома,
— нервномышечная гамартома,
— невринома слизистых оболочек,
— нейротекеома,
— гранулярноклеточная опухоль,
— менингиома;
2) злокачественные опухоли нервного ствола (C47):
— злокачественная опухоль оболочек периферического нерва (ЗООПН).
Также возможно вторичное поражение периферических нервов расположенными по соседству опухолями других органов и тканей и метастазами.
Нейрофиброма, шваннома
Гистологическая характеристика нейрофибром и шванном (неврином) в основном не отличается от таковой при локализации опухоли в ЦНС, но, в отличие от внутричерепных, некоторые нейрофибромы, особенно ассоциированные с НФ1, широко инфильтрируют нерв и часто окружающие ткани, такие опухоли называют плексиформными или интраневральными нейрофибромами. Озлокачествление плексиформных нейрофибром наблюдается в 5% случаев. Не менее 50% периферических нейрофибром ассоциированы с НФ1 и часто являются основным клиническим проявлением этого заболевания. Изредка при НФ1 могут встречаться и шванномы, хотя чаще эти опухоли ассоциированы с НФ2.
Периневрома
Редкое новообразование, опухолевая природа которого подвергается сомнению. Макроскопически выглядит как диффузное утолщение участка периферического нерва, микроскопически выявляются концентрические клеточные структуры, окружающие аксоны. Иммунореактивность клеток указывает на их происхождение из периневрия, молекулярно-генетические исследования выявляют патологию 22 хромосомы. Возникает чаще у подростков, локализуется в конечностях, проявляется симптомами поражения соответствующего нерва.
Липома
Возникает из жировых клеток нерва. Представляет собой новообразование желтого цвета, инфильтрирующее периферический нерв или плотно с ним спаянное. Поражает преимущественно нервы рук, чаще всего — срединный в карпальном туннеле (для липом этой локализации предлагался термин «фибролипоматозная гамартома»). Часто бывает врожденной, клинические проявления изначально небольших липом обычно возникают при избыточной массе тела.
Гемангиома, лимфангиома
Редкие опухоли дизэмбриогенетического происхождения развиваются из клеток эндотелия сосудов. Прорастают нерв, часто вызывают боли (местные и в зоне иннервации) и достаточно грубые нарушения функции нерва.
Нервно-мышечная гамартома
Редкая опухоль, развивается в первые годы жизни, представляет собой дольчатое новообразование, содержащее пучки нервных и мышечных волокон. Развивается у больных синдромом множественных эндокринных опухолей 3 (или, по некоторым классификациям, 2b) типа.
Нейротекеома
Опухоль не вполне ясного происхождения, наиболее вероятным представляется ее развитие из дистальных волокон периферического нерва. Встречается преимущественно у детей и подростков, локализуется в коже, не достигает больших размеров, иногда бывает болезненной при пальпации.
Гранулярноклеточная опухоль
Развивается также из дистальных волокон периферического нерва, локализуется в подкожной клетчатке или под слизистой оболочкой (часто языка), может поражаться молочная железа. Опухоль доброкачественная, хотя описаны единичные наблюдения агрессивного биологического поведения и малигнизации.
Менингиома
Менингиома ПНС развивается из эктопических арахноидальных клеток. Встречается очень редко. Гистологически не отличается от внутричерепных менингиом. Локализуется преимущественно экстраневрально, но может располагаться и в толще нервного ствола. Поражаются чаще нервы шеи и плечевое сплетение.
Помимо вышеупомянутых, описаны единичные случае поражения ПНС гемангиобластомами и параганглиомами.
Симптоматика и диагностика
Частная симптоматология опухолей ПНС сходна с таковой при других, неопухолевых процессах.
Опухоли плечевого сплетения на ранних стадиях развития дают «стертую», неопределенную неврологическую симптоматику, которая в большинстве случаев напоминает проявления вертеброгенной патологии. Только появление объемного образования в паравертебральной области, в области боковых треугольников шеи позволяет заподозрить онкологическую патологию ПНС.
Нейрофибромы чаще бывают односторонними, нередко при этом выявляются признаки НФ1. Плексиформные нейрофибромы обычно поражают несколько элементов сплетения. Следует помнить о тенденции распространения опухоли плечевого сплетения в медиальном направлении с врастанием в межпозвонковое отверстие и позвоночный канал. В этих случаях формируются опухоли типа «песочных часов» или «гантелевидные». Больные без признаков НФ1 обычно имеют единичные, плотные фузиформные новообразования, поражающие один из стволов плечевого сплетения.
Шванномы чаще исходят из верхнего первичного ствола и корешков С5, С6, реже вовлекаются другие элементы плечевого сплетения. Для шванном более характерен возраст пациентов 40–45 лет в сравнении с таковым для нейрофибром — 25–30 лет. Начальные симптомы — пальпируемое безболезненное образование в надключичной области с минимальным или незначительным неврологическим дефицитом.
При злокачественных опухолях плечевого сплетения типичные жалобы — боли, которые вскоре становятся спонтанными, весьма мучительными и упорными. Визуально и пальпаторно в надключичной области определяется несмещаемое, плотное, болезненное новообразование («вколоченное» в паравертебральную область). Неврологический дефицит на момент обращения к врачу обычно достаточно выражен — выявляются нарушения чувствительности в зоне пораженных стволов и парез мышц руки. Опухоль, исходящая из С8, Th1 корешков, нижнего первичного ствола, преимущественно локализуется в подключичной области и может инфильтрировать и прорастать подключичную, позвоночную артерии, дугу аорты, апикальную плевру.
Среди доброкачественных опухолей плечевого сплетения иного (не неврального) происхождения в литературе описывают менингиомы, липомы, лимфангиомы, десмоидные опухоли. Эти объемные образования, локализуясь в области плечевого сплетения, изначально трактуются как опухоли сплетения, но во время операции при экспресс-биопсии устанавливается истинная гистологическая природа новообразований. Менингиомы возникают из производных ТМО интравертебрально, но при распространении экстравертебрально могут имитировать опухоль плечевого сплетения. Липомы — безболезненные образования, практически не вызывают неврологического дефицита. Десмоидная опухоль — доброкачественное мезенхимное новообразование, развивается в мышце и вторично захватывает, а иногда инфильтрирует нерв.
Злокачественные опухоли не неврального происхождения, поражающие плечевое сплетение, — это обычно метастазы РМЖ, легких, либо непосредственное прорастание рака верхушки легкого (рак Pancoast). В последнем случае в клинике преобладает поражение нижнего первичного ствола плечевого сплетения с развитием паралича типа Дежерина — Клюмпке и упорный болевой синдром в дистальных отделах руки. После лучевой терапии могут возникнуть сложности в дифференциальной диагностике лучевой плексопатии и рецидива метастатической опухоли. При лучевой плексопатии клинические симптомы развиваются обычно в течение года после проведенного лечения, причем наличие лимфостаза более характерно именно для плексопатии.
Определенные трудности могут возникать в дифференцировке опухолевого поражения и плексопатии воспалительно-аллергического генеза. Основные клинические симптомы такой плексопатии — выраженная боль и снижение мышечной силы. В 25% случаев при этом виде патологии вовлекаются обе руки. При КТ может выявляться объемное образование в проекции плечевого сплетения, что обусловливает показания к хирургическому вмешательству по поводу предполагаемой опухоли. При гистологическом исследовании обнаруживается продуктивное локальное хроническое воспаление. Лабораторные данные выявляют в крови больных повышение титра антител к миелину периферических нервов. Эта патология имеет общие механизмы с синдромом Guillain — Barre и обычно развивается после иммунизации и вирусных инфекций. При правильном диагнозе отмечается спонтанный, почти полный регресс неврологических симптомов в течение нескольких месяцев.
Клинические симптомы опухоли других нервов определяются локализацией и степенью нарушения функции пораженного опухолью нерва.
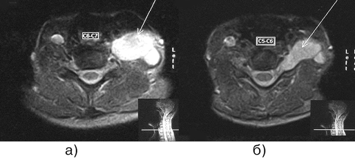
МРТ при шванномах и других новообразованиях в проекции нервного ствола выявляет гиперинтенсивное объемное образование; потерю фасцикулярного рисунка нервов в прилегающей области; участки ствола, граничащие с образованием, имеют гиперинтенсивный сигнал в T2 режиме. Шванномы представляют собой дольковые инкапсулированные округлые или овальные образования, гиперинтенсивные в T2-режиме, изо— или гиперинтенсивные в T1-режиме (рис. 1). Более чем в половине случаев в строме шванном выявляются участки некроза и кистозной дегенерации, они проявляются негомогенными гиперинтенсивными областями в T2-режиме. Нейрофибромы представляют собой неинкапсулированные грибовидные, менее четко отграниченные образования по сравнению со шванномами. Они также гиперинтенсивны в T2-режиме и изо-/гиперинтенсивны в T1-режиме (рис. 2). В отличие от шванном, нейрофибромы обычно не могут быть отделены от материнского нерва, т.к. нервные волокна проходят через опухоль.

Рисунок 1. Шваннома плечевого сплетения (МРТ, а — Т1, б — Т2-взвешенные изображения)

Рисунок 2. Нейрофиброма плечевого сплетения (МРТ, Т2-взвешенные изображения)
Хирургическое лечение
Положение больного на операционном столе должно быть адекватным для доступа к опухоли. Отграничивать операционное поле надо так, чтобы визуально контролировать сокращение дистальных мышечных групп в процессе интраоперационной электростимуляции. Одна из нижних конечностей может быть подготовлена для забора аутонейротрансплантатов поверхностного кожного нерва голени. Операции следует производить под микроскопом. Используются: набор общих инструментов для выполнения доступа и набор специальных микроинструментов для манипуляций на нервных стволах, а также набор электродов для интраоперационной нейростимуляции.
Обнажение нерва, пораженного опухолью, производится по стандартной методике. Разрез кожи и мягких тканей выполняется в соответствии с линиями проекционных разрезов и доступов к периферическим нервам в различных отделах верхних и нижних конечностей. При этом необходимо создать условия для четкого выявления интактных участков нерва проксимальнее и дистальнее локализации опухоли. Если операция производится в непосредственной близости от анатомической зоны возможного ущемления нерва (например в области карпального или кубитального каналов), следует заранее предусмотреть выполнение дополнительных декомпрессивных манипуляций для предотвращения ущемления нерва в послеоперационном периоде. Важный этап операции — определение соотношений фасцикул, пучков нервного ствола и опухоли. Чтобы уменьшить степень повреждения фасцикулярных групп, целесообразно производить рассечение эпиневрия и поверхностной капсулы опухоли (при наличии таковой) в продольном направлении от проксимального к дистальному полюсу опухоли. Как правило, необходимости в уменьшении размеров опухоли не возникает. При шванномах в результате тщательной препаровки обнаруживается фасцикулярная группа, из которой развивается опухоль. Обычно это мелкий пучок, которым можно пожертвовать. Интраоперационная стимуляция нерва должна подтвердить, что проводимость непораженной части нервного ствола при удалении опухоли останется сохранной.
В редких случаях невозможно выделить фасцикулы из опухолевого конгломерата, и после иссечения опухоли возникает анатомический дефект. В этих ситуациях необходима аутонейротрансплантация. Если шваннома исходит из малого и несущественного кожного нерва, детальная микрохирургическая препаровка не требуется: опухоль может быть резецирована вместе с участком нерва. Для остановки кровотечения из эпиневральных сосудов используется биполярная коагуляция, орошение раны физиологическим раствором. Использование 3% раствора перекиси водорода для этих целей нежелательно вследствие его повреждающего действия на периферический нерв.
После удаления нейрофибром в большинстве случаев из-за особенностей их роста возникает потеря функции тех элементов, из которых исходит опухоль. Обычно определяется утолщение или «вздутие» нерва с нечеткими верхними и нижними границами. Одиночные нейрофибромы сравнительно редки в сравнении с единичными шванномами.
Внешний вид нейрофибром достаточно характерен и в основном отличается от классической шванномы. Чаще дефект нервного ствола после удаления опухоли значителен, и его приходится замещать трансплантатом из кожного нерва голени. Объем резекции опухоли и предлежащих фасцикулярных структур представляет собой непростую задачу, т.к. нет убедительной границы в проксимальном и дистальном направлениях, нет четкой капсулы опухоли, которые могли бы оптимизировать уровень резекции.
У больных с множественными опухолями нервных стволов, в т.ч. подкожными, нейрохирург должен убедиться, что неврологическая симптоматика обусловлена именно периферическими опухолями, а не другими патологическими процессами, такими как сирингомиелия, интракраниальные опухоли и т.п. Целесообразно уточнить, имеется ли ситуация, обусловленная шванномой, нейрофибромой или злокачественной опухолью периферических нервов. У некоторых пациентов могут определяться и редкие гроздевидные разрастания окончаний кожных нервов — плексиформные нейрофибромы. Радикальное удаление этих патологических образований затруднительно вследствие биологических особенностей данного вида опухолей. Хирургическое лечение может быть предпринято при явном прогрессировании заболевания, при больших размерах опухоли, мучительных болях, нарастании неврологического дефицита. Множественные нейрофибромы, в т.ч. и при НФ1, могут озлокачествляться.
Злокачественные опухоли оболочек периферических нервов
Характерная особенность — аксиальное внутриствольное распространение опухоли. Нередко отмечается гематогенное метастазирование, в первую очередь, в легкие и печень. Не связанные с НФ1 шванномы подвергаются озлокачествлению крайне редко, тогда как у больных с НФ1 риск озлокачествления опухоли возрастает. Хирург может подозревать злокачественную природу опухоли нерва, если имеется быстрое увеличение опухоли в размерах, сопровождающееся выраженным болевым синдромом. Выявление до операции клинических или рентгенологических признаков метастазирования опухоли склоняют хирурга скорее к паллиативной тактике.
При удалении таких опухолей значимость экспресс-биопсии крайне велика. Один из методов, к которому может прибегнуть хирург при злокачественной опухоли нерва, — это радикальная блок-резекция опухоли и окружающих тканей, отступая на 3–4 см от опухоли, как это принято в онкологической практике. При расположении опухоли на конечности возможна ампутация. В других случаях операция может быть ограничена лишь взятием небольшого фрагмента опухоли для биопсии с последующим возможным комбинированным лечением.
Редко встречающиеся опухоли: а) гамартомы — могут вестись консервативно при минимальном страдании неврологической функции, вопрос о необходимости оперативного лечения рассматривается только при наличии нарастающих признаков неврологической дисфункции; б) интраневральные липомы, как правило, подлежат хирургическому лечению.
При опухолях плечевого сплетения необходимо вмешательство с использованием всего микронейрохирургического комплекса, включая операционный микроскоп, набор специальных инструментов, по возможности и ультразвуковых инструментов. Выполняются передние (надключичный, подключичный) и задние (задний надлопаточный, параспинальный) доступы к плечевому сплетению в зависимости от исходного роста и преимущественного распространения опухоли по отделам плечевого сплетения. Задние доступы используются при опухолях, исходящих из дистальных отделов плечевого сплетения, особенно корешков С8 и Th1, нижнего первичного ствола, а также в случаях, когда ранее была уже выполнена операция, обусловившая формирование выраженных рубцов и сращений в надключичной области. Опухоли, исходящие из верхнего первичного ствола, корешков С5, С6, вторичных пучков плечевого сплетения удаляются из передних доступов.
Первый шаг при удалении опухоли — идентификация и выделение элементов сплетения и крупных сосудов. Нервные стволы проксимальнее и дистальнее опухоли должны быть четко идентифицированы, проведены интраоперационная стимуляция и запись вызванных потенциалов, что позволяет дифференцировать пораженные и жизнеспособные нервные фасцикулы, а также интактные элементы, проходящие в толще опухоли.
При одиночных нейрофибромах стволов плечевого сплетения оперативная техника обычно следующая:
а) диссекция окружающих тканей с использованием микроскопа;
б) подведение фасцикулярного держателя в или под опухоль;
в) интраоперационное электрофизиологическое исследование с выявлением нефункционирующих фасцикул, входящих в опухоль и покидающих ее;
г) невролиз пучков и стволов сплетения;
д) по возможности максимальное удаление опухоли;
е) при возникшем анатомическом дефекте и отсутствии признаков злокачественности опухоли — восстановление дефекта с использованием межпучковых швов, а также трансплантатов икроножного нерва.
Необходимость лучевой терапии при злокачественных опухолях оболочек периферического нерва дискутируется в связи с достаточно низкой эффективностью. Могут применяться различные протоколы химиотерапии, отработанных и достоверно эффективных схем на сегодня нет. При других опухолях периферических нервов лучевая и химиотерапия не используются.
Доброкачественные опухоли периферических нервов практически не оказывают влияния на показатель продолжительности жизни больных. При злокачественной опухоли оболочек периферического нерва 5-летняя выживаемость составляет в среднем около 35% (после радикальной блок-резекции или ампутации в N0M0 стадии — около 45%).
Описание проверено экспертом
Оцените статью:
Полужирным шрифтом выделены лекарства, входящие в справочники текущего года. Рядом с названием препарата может быть указан ежегодный уровень индекса информационного спроса (показатель, который отражает степень интереса потребителей к информации о лекарстве).
новообразование периферической нервной системы
опухоли периферической нервной системы, опухоли периферических нервов,