Глава 14. Первичный билиарный цирроз

Е.Н. Широкова

Эпидемиология. Заболевание встречается с частотой 19-151 на 1.000.000 населения. Ежегодно регистрируется 4-15 новых случаев заболевания на 1.000.000. В структуре мировой смертности от всех циррозов печени доля первичного билиарного цирроза (ПБЦ) составляет почти 2%.

ПБЦ болеют люди всех рас. Среди больных 90-95% составляют женщины. Заболевание обычно начинается в возрасте 30-70 лет.

Генетика. Генетические факторы, очевидно, играют определенную роль в возникновении ПБЦ, хотя заболевание не наследуется по доминантному или рецессивному типу. Описаны семейные случаи заболеваемости ПБЦ. Вероятность заболевания в семьях, где имеется больной ПБЦ, в 1000 раз больше, чем в общей популяции.

Данные об отсутствии развития ПБЦ у одного из близнецов, если второй болен, позволяют предположить необходимость запускающего фактора у генетически восприимчивого индивидуума. Имеется слабая связь между ПБЦ и антигенами гистосовместимости HLA DR8 и геном DQB1.

Иммунологические нарушения. Большое число иммунных нарушений у больных ПБЦ указывает на то, что заболевание вызвано некоторыми нарушениями иммунной регуляции. Однако прямого подтверждения этой гипотезы нет.

Антимитохондриальные антитела (АМА) обнаруживаются у 95% больных ПБЦ. Они не оказывают влияния на течение заболевания и не являются специфичными для ПБЦ, т.к. встречаются у некоторых больных с аутоиммунным и лекарственным гепатитом.

АМА - это семейство антител, которое взаимодействует с различными антигенами митохондрий. Специфичными для ПБЦ считаются анти-М2. Они направлены непосредственно против дигидролипоилацетилтрансферазы (Е2) пируватдегидрогеназного комплекса внутренней мембраны митохондрий (рис. 14.1).

Схема пируват - дегидрогеназного комплекса

Рис. 14.1. Схема пируват - дегидрогеназного комплекса

У больных ПБЦ также определяли другие АМА: анти-М4, анти-М8 и анти-М9. Однако недавно проведенные исследования с использованием в качестве антигенов высоко очищенных клонированных человеческих белков митохондрий не подтвердили существование этих антител. Они могут быть артефактами ранее используемых технологий.

Связь между АМА и иммунным повреждением желчных протоков остается неясной. Е2 антигены пируватдегидрогеназного комплекса стимулируют продукцию интерлейкина 2 мононуклеарами периферической крови и Т-клетками, клонированными из биопсийного материала печени больных ПБЦ. Молекула с некоторыми антигенными признаками Е2 компонента пируватдегидрогеназного комплекса аберрантно экспрессируется на поверхности эпителия желчных протоков больных ПБЦ, но не обнаруживается в контрольной группе или у пациентов с первичным склерозирующим холангитом (ПСХ). Пируватдегидрогеназный Е2 компонент начинает экспрессироваться эпителиальными клетками желчных протоков до экспрессии двух других антигенов, которые необходимы для цитотоксичности Т-лимфоцитов: антигенов HLA II-го класса и фактора ВВ1/В7.

Митохондриальные антигены не являются специфичными для определенного типа ткани. Не установлено корреляции между титром АМА и тяжестью течения ПБЦ. Высокие титры АМА могут быть воспроизведены у экспериментальных животных путем иммунизации чистой человеческой пируватдегидрогеназой. Однако у этих животных не развивается заболевание печени.

У больных ПБЦ обнаруживают и другие циркулирующие антитела: антинуклеарные, антитиреоидные, лимфоцитотоксичные, к ацетилхолиновым рецепторам, к тромбоцитам, к антирибонуклеопротеиновому антигену Ro, антигистоновые, антицентромерные.

Определяются высокие уровни сывороточного иммуноглобулина М (IgM), отличающегося высокой иммунной реактивностью и криопреципитацией. Тесты на иммунные комплексы могут быть ложноположительными из-за высоких уровней иммуноглобулинов сыворотки.

ПБЦ может сочетаться с другими аутоиммунными заболеваниями: с тиреоидитом, гипотиреозом, ревматоидным артритом, CREST синдромом (C - кальциноз, R - синдром Рейно, E - нарушение моторики пищевода, S - склеродактилия, T - телеангиоэктазии), синдромом Шегрена, склеродермией.

У больных имеются изменения клеточного иммунитета: нарушение Т-клеточной регуляции, уменьшение циркулирующих Т-лимфоцитов, секвестрация Т-лимфоцитов внутри печеночных портальных триад, отрицательные кожные пробы гиперчувствительности замедленного типа.

Патогенез. По-видимому, существуют два взаимосвязанных процесса, вызывающих повреждение печени и проявляющихся клиническими признаками ПБЦ (схема 14.1).


Генетически восприимчивый организм
(невозможность подавить T-клеточную атаку эпителия желчных протоков)
Возраст старше 21 года
(определенный гормональный профиль?)
Пусковой фактор:
  • Повреждение эпителиальных клеток желчных протоков?
  • Реакция на лекарство?
  • Вирусная или бактериальная инфекция?
  • Субклиническая обструкция желчных протоков?
Прогрессирующее повреждение эпителия желчных протоков

Повышенная экспрессия
антигенов HLA I и II классов
Задержка токсичных веществ
(например, желчных кислот)
Холестаз
Постепенное исчезновение желчных протоков
Прогрессирующий портальный и перипортальный фиброз
Цирроз и портальная гипертензия
Печеночная недостаточность и осложнения портальной гипертензии

Схема 14.1. Предполагаемый патогенез ПБЦ

Первый процесс - это хроническая деструкция мелких желчных протоков, очевидно, вызываемая активированными лимфоцитами. Вероятно, начальное повреждение обусловлено цитотоксическими Т-лимфоцитами. Клетки желчных протоков у больных ПБЦ экспрессируют повышенное количество антигенов I-го класса комплекса гистосовместимости HLA-A, HLA-B, HLA-C и антигенов II-го класса HLA-DR, по сравнению с нормальными клетками желчных протоков. Повреждения желчных протоков сходны с нарушениями, вызываемыми цитотоксическими Т-лимфоцитами, такими как болезнь трансплантат против хозяина и реакция отторжения аллогенного трансплантата.

Второй процесс - химическое повреждение гепатоцитов в тех областях печени, где дренирование желчи нарушено вследствие повреждения мелких желчных протоков и проявляется уменьшением их числа. Происходит задержка желчных кислот, билирубина, меди и других веществ, которые в норме секретируются или экскретируются в желчь. Увеличенная концентрация некоторых из них, таких как желчные кислоты, может вызвать дальнейшее повреждение клеток печени.

Симптомы ПБЦ обусловлены длительно существующим холестазом. Разрушение желчных протоков, в конечном счете, ведет к портальному воспалению, фиброзу, и в итоге к циррозу и печеночной недостаточности.

Морфология. Макроскопически печень по мере нарастания холестаза приобретает зеленоватую окраску, на стадии цирроза становится мелкобугристой, окрашенной в темно-зеленый цвет.

ПБЦ – длительно текущее заболевание, которое характеризуется деструкцией внутрипеченочных желчных протоков с уменьшением их числа, пролиферацией холангиол (как попытка компенсации утраты желчных протоков), воспалительной клеточной инфильтрацией портальных трактов и долек печени, образованием гранулем, а в дальнейшем развитием холестаза, деструкции печеночной ткани, нарастанием фиброзных изменений с формированием мелкоузлового цирроза в финале.

Выделяют четыре морфологические стадии ПБЦ:

  • I – хронического негнойного деструктивного холангита (дуктальная стадия),
  • II – пролиферация холангиол и перидуктального фиброза (дуктулярная стадия),
  • III – фиброза стромы при наличии воспалительной инфильтрации паренхимы печени,
  • IV – цирроза печени.

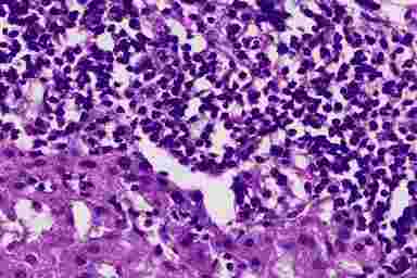
В I стадию происходит разрушение междольковых желчных протоков в зоне гранелематозного воспаления. Разрушающиеся желчные протоки в виде муфт окружены клетками воспалительного инфильтрата, преимущественно лимфоцитами, портальные тракты густо инфильтрированы лимфоцитами, плазмоцитами, макрофагами, в небольшом количестве эозинофилами (рис. 14.2).

Первичный билиардный цирроз печени

Рис. 14.2. Первичный билиардный цирроз печени (биоптат печени, окраска г/э, х400). Деструктивный холангит. Рядом с протоком - гранулема, лимфоидный инфильтрат

Во II стадию продолжающаяся деструкция желчных протоков приводит к уменьшению их числа, появляются портальные тракты без желчных протоков (“пустой” портальный тракт), вокруг сохранившихся протоков разрастается волокнистая соединительная ткань. Уменьшение числа желчных протоков в портальных трактах – важный диагностический признак ПБЦ. Происходит также пролиферация холангиол. Возникают признаки холестаза. Развитие портальной гипертензии в этот сравнительно ранний период (I – II стадии ПБЦ) объясняют фиброзом и клеточной инфильтрацией портальных трактов (рис. 14.3).

Первичный билиардный цирроз печени

Рис. 14.3. Первичный билиардный цирроз печени (биоптат печени, окраска г/э, х100). Фиброзные изменения и воспалительная клеточная инфильтрация, желчные протоки не выявляются (дуктопения)

В III стадии усиливается химическое повреждение, некроз гепатоцитов вследствие нарушения внутрипеченочного оттока желчи и воспалительная клеточная инфильтрация долек, появляются порто-портальные и порто-центральные септы, которые окружают формирующиеся ложные дольки.

IV стадия, которая может наступить спустя много лет от начала заболевания, выявляется сформированный мелкоузловой цирроз печени.

  • 14.1. Клинические проявления
  • 14.2. Лечение

События

Реклама: ООО «РЛС-Патент», ИНН 5044031277, erid=4CQwVszH9pWuokPrdWg

Реклама: ООО «РЛС-Патент», ИНН 5044031277

Реклама: Общероссийская общественная организация «Российское научное медицинское общество терапевтов», ИНН 7702370661

Реклама: ИП Вышковский Евгений Геннадьевич, ИНН 770406387105, erid=F7NfYUJCUneP5W78VwNF

Реклама: ИП Вышковский Евгений Геннадьевич, ИНН 770406387105, erid=F7NfYUJCUneP5W79xufv

Наш сайт использует файлы cookie, чтобы улучшить работу сайта, повысить его эффективность и удобство. Продолжая использовать сайт rlsnet.ru, вы соглашаетесь с политикой обработки файлов cookie.
;