Глава 6. Алкогольная болезнь печени

А.О. Буеверов

Эпидемиология. Связь употребления алкоголя с развитием цирроза печени впервые установлена M. Baillie в 1793 г. Несмотря на открытие в последние десятилетия многообразных этиологических факторов поражения печени, по сегодняшний день одним из ведущих среди них остается алкоголь. По данным G.A. Zeldin и A.M. Diehl, в 1988 г. среди умерших от цирроза, в 44% случаев причиной заболевания печени явился алкоголь. Следует учитывать, что не у всех лиц, злоупотребляющих спиртными напитками, развивается поражение печени: среди данной группы частота выявления цирроза на вскрытии не превышает 10-15%, в то время как у 30% изменения печени вообще отсутствуют.

Критическая доза алкоголя. Большинство исследователей сходится во мнении, что риск поражения печени значительно увеличивается при употреблении более 80 г чистого этанола в день на протяжении не менее 5 лет. В то же время данная доза может рассматриваться как критическая, преимущественно по отношению к мужчинам. Для женщин, несмотря на очевидно большую чувствительность к алкоголю, подобные данные обычно не приводятся, хотя некоторые авторы указывают в качестве безопасной дозы 20 г этанола в день.

Развитие алкогольной болезни печени (АБП) не зависит от типа спиртных напитков, следовательно, при расчете суточной дозы алкоголя у конкретного больного необходимо учитывать только общую концентрацию этанола.

Постоянное употребление алкоголя наиболее опасно, поэтому риск АБП ниже у лиц, употребляющих спиртные напитки с перерывами не менее двух дней в неделю.

Термины “АБП” и “алкоголизм” не являются синонимами, последний применяется в наркологии для обозначения состояния, характеризующегося психической и физической зависимостью от алкоголя. Более того, по данным A.D. Wodak и соавторов (1983 г), у большинства больных АБП наблюдается слабо выраженная зависимость от алкоголя. У них редко возникает тяжелый похмельный синдром, что позволяет им употреблять спиртные напитки в больших количествах на протяжении многих лет.

Факторы, способствующие развитию АБП. Пол. Женщины более чувствительны к токсическому действию алкоголя, что в определенной степени можно объяснить меньшей активностью алкогольдегидрогеназы слизистой оболочки желудка, что обусловливает более активный печеночный метаболизм этанола.

Генетический полиморфизм метаболизирующих этанол ферментов. (см. ниже).

Питание. Этанол нарушает кишечную абсорбцию и депонирование питательных веществ, а также приводит к снижению аппетита за счет высокой собственной калорийности. В результате возникает хронический дефицит белка, витаминов и минералов.

Инфекция гепатотропными вирусами. Инфицирование вирусами гепатитов В и С, нередко наблюдающееся у лиц, злоупотребляющих алкоголем, ведет к прогрессированию поражения печени.

Токсичность ксенобиотиков. (см. ниже)

Метаболизм алкоголя. Основным местом метаболизма этанола является печень. До 85% этанола окисляется цитозольным ферментом алкогольдегидрогеназой (АДГ) до ацетальдегида.

1. С2Н5ОН + НАД+      СН3СНО + НАД·Н + Н+
Этанол Ацетальдегид

Ацетальдегид, в свою очередь, при помощи митохондриального фермента альдегидегидрогеназы (АлДГ) подвергается дальнейшему окислению до ацетата через стадию ацетил-СоА.

  АлДГ    
2. С2Н4О + НАД+       СН3СООН + НАД·Н + Н+
Ацетальдегид   Ацетат  

В обеих реакциях в качестве кофермента участвует никотинамиддинуклеотид (НАД), который, присоединяя протон, восстанавливается до НАД·Н.

Различия в скорости элиминации алкоголя в значительной мере обусловлены генетическим полиморфизмом ферментных систем. АДГ кодируется пятью различными локусами на хромосоме 4. Преобладание наиболее активного изофермента АДГ 2, чаще всего встречающееся у представителей монголоидной расы, обусловливает повышенную чувствительность к спиртным напиткам, проявляющуюся тахикардией, потливостью, гиперемией лица. В случае продолжения употребления алкоголя риск развития поражения печени у них выше вследствие усиленного образования ацетальдегида.

АлДГ кодируется четырьмя локусами на четырех различных хромосомах. У 50% китайцев и японцев основной изофермент АлДГ 2 находится в неактивном состоянии, что служит причиной накопления ацетальдегида и повышения риска поражения печени.

Около 10-15% этанола метаболизируется в микросомах гладкого эндоплазматического ретикулума микросомальной этанол-окислительной системой (МЭОС). Входящий в систему цитохром Р450 2Е1 участвует в метаболизме не только алкоголя, но и ряда лекарственных препаратов, в том числе парацетамола (ацетаминофена). При повышении нагрузки МЭОС проявляет свойства самоиндукции, что в значительной степени обусловливает повышение толерантности к алкоголю на определенном этапе хронического злоупотребления спиртными напитками. Усиленная работа МЭОС ведет к повышенному образованию токсичных метаболитов лекарств, что может явиться причиной поражения печени при применении даже терапевтических доз медикаментов.

Роль каталазной системы, локализованной в пероксисомах цитоплазмы и митохондриях, в метаболизме этанола у человека незначительна.

Патогенез. Токсическое действие ацетальдегида.  Ацетальдегид, образующийся в печени под воздействием АлДГ и МЭОС, обусловливает значительную часть токсических эффектов этанола. Основными из них являются:

  • усиление перекисного окисления липидов,
  • нарушение электронно-транспортной цепи в митохондриях,
  • подавление репарации ДНК,
  • нарушение функции микротрубочек,
  • образование комплексов с белками,
  • стимуляция продукции супероксида нейтрофилами,
  • активация комплемента,
  • стимуляция синтеза коллагена.

Одним из важнейших гепатотоксических эффектов ацетальдегида, проявляющегося в результате усиления перекисного окисления липидов и формирования стойких комплексных соединений с белками, является нарушение функции основного структурного компонента клеточных мембран - фосфолипидов. Это ведет к повышению проницаемости мембран, нарушению трансмембранного транспорта, изменениям функционирования клеточных рецепторов и мембраносвязанных ферментов.

Образование ацетальдегид-белковых комплексов нарушает полимеризацию тубулина микротрубочек, что находит отражение в патоморфологическом феномене, носящим название алкогольного гиалина или телец Мэллори. Ввиду того, что микротрубочки участвуют во внутриклеточном транспорте и секреции белков, нарушение их функции ведет к задержке белков и воды с формированием баллонной дистрофии гепатоцитов.

На экспериментальных моделях показано, что подавление репарации ДНК при хроническом употреблении этанола ведет к усилению апоптоза - программированной смерти клеток.

Нарушение липидного обменаОкисление этанола обусловливает повышенный расход кофермента НАД+ и увеличение соотношения НАД·Н/НАД. Это приводит к сдвигу вправо реакции:

Дегидроксиацетонфосфат + НАД·Н + Н+  глицеро-3-фосфат + НАД+

Последствием повышенного синтеза глицеро-3-фосфата является усиление эстерификации жирных кислот и синтеза триглицеридов, что служит начальным этапом развития гиперлипидемии и жировой дистрофии печени. Наряду с этим, нарастание концентрации НАД·Н сопровождается снижением скорости b -окисления жирных кислот, что также способствует их отложению в печени.

Нарушение функции митохондрий. Хроническое употребление алкоголя способствует снижению активности митохондриальных ферментов и разобщению окисления и фосфорилирования в электронно-транспортной цепи, что, в свою очередь, приводит к уменьшению синтеза АТФ. В роли непосредственных “виновников” указанных нарушений выступают ацетальдегид и жирные кислоты. Развитие микровезикулярного стеатоза печени, представляющего собой одно из наиболее тяжелых осложнений АБП, связывают с повреждением ДНК митохондрий продуктами перекисного окисления липидов.

Повышение клеточного редокс-потенциала. Увеличение соотношения НАД·Н/НАД ведет к повышенному синтезу лактата из пирувата, что обусловливает развитие лактат-ацидоза, наиболее резко выраженного при тяжелых формах острого алкогольного гепатита.

Гипоксия и фиброз. Высокая потребность гепатоцитов в кислороде обусловливает прогрессирующее уменьшение его концентрации в печеночной дольке от зоны 1 (окружение портальной венулы и печеночной артериолы) к зоне 3 (окружение центральной вены). Следовательно, гепатоциты, локализованные в зоне 3, наиболее подвержены последствиям гипоксии - некрозу. Более того, максимальное количество цитохрома Р450 2Е1, в составе МЭОС участвующего метаболизме этанола, обнаруживается именно в зоне 3.

Механизмы этанол-индуцированного фиброгенеза до конца не расшифрованы, однако установлено, что при АБП формирование цирроза может происходить путем прогрессирования фиброза в отсутствие выраженного воспаления. Важным звеном фиброгенеза является активация при гипоксии цитокинов, среди которых особое внимание уделяется трансформирующему фактору роста бета (ТФРb ,TGFb ). Происходит трансформация жиронакапливающих клеток Ито в фибробласты, продуцирующие преимущественно коллаген 3-го типа. Другим стимулятором коллагенообразования являются продукты перекисного окисления липидов.

Иммунные механизмы. Реакции клеточного и гуморального иммунного ответа не только играют существенную роль в повреждении печени при злоупотреблении алкоголем, но и в значительной степени могут объяснить случаи прогрессирования заболевания печени после прекращения употребления спиртных напитков. В то же время выраженные иммунологические сдвиги у больных АБП в большинстве случаев обусловлены иными причинами, нежели непосредственное действие этанола, в частности, инфекцией гепатотропными вирусами.

Участие гуморальных механизмов проявляется в первую очередь в повышении уровня сывороточных иммуноглобулинов, преимущественно за счет IgA, и в отложении IgA в стенке печеночных синусоидов. Кроме того, в невысоком титре выявляются сывороточные антитела к компонентам ядра и гладкой мускулатуре, а также антитела к неоантигенам (алкогольному гиалину и ацетальдегид-белковым комплексам).

Отражением клеточных механизмов служит циркуляция цитотоксических лимфоцитов у больных острым алкогольным гепатитом. CD4 и CD8-лимфоциты обнаруживаются также в воспалительных инфильтратах в ткани печени, наряду с повышенной мембранной экспрессией молекул HLA I и II классов. В роли антигенов-мишеней в данном случае, по-видимому, также выступают продукты взаимодействия метаболитов этанола и клеточных структур. Это подтверждается корреляцией количества ацетальдегид-белковых комплексов в биоптатах печени с показателями активности заболевания.

У больных АБП выявляют повышенные концентрации сывороточных провоспалительных цитокинов: интерлейкина-1(ИЛ-1), ИЛ-2, ИЛ-6, тумор-некротизирующего фактора альфа (ТНФ-a ), которые участвуют во взаимодействии иммунокомпетентных клеток. Кроме того, ТНФ-a и ИЛ-8 (фактор хемотаксиса нейтрофилов) через стимуляцию продукции активных форм кислорода и оксида азота вызывают повреждение клеток-мишеней, обусловливая картину полиорганной недостаточности при остром алкогольном гепатите.

На стадии цирроза, в качестве мощного стимулятора перечисленных цитокинов, присоединяется бактериальный эндотоксин. Его проникновение в избыточных количествах в системную циркуляцию обусловлено повышенной проницаемостью кишечной стенки.

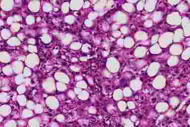
Морфология. Жировая дистрофия (стеатоз печени).  Жировые включения локализуются преимущественно в гепатоцитах 2 и 3 зон печеночного ацинуса, в более тяжелых случаях капли жира распределяются в ткани печени диффузно (рис. 6.1). В большинстве случаев включения имеют крупные размеры (крупнокапельное ожирение или макровезикулярный стеатоз). Микровезикулярный стеатоз (мелкокапельное ожирение) ассоциирован с повреждением митохондрий, поэтому наблюдается уменьшение количества митохондриальной ДНК в гепатоцитах.

Жировой гепатоз

Рис. 6.1. Жировой гепатоз (биоптат печени, окраска г/э, х200). Диффузная крупнокапельная дистрофия гепатоцитов

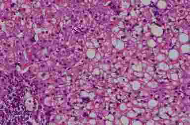
Алкогольный гепатит. При развернутой картине острого алкогольного гепатита гепатоциты находятся в состоянии баллонной и жировой дистрофии; практически обязательное присутствие последней послужило поводом для введения термина “алкогольный стеатогепатит” (рис. 6.2).

Алкогольная болезнь печени

Рис. 6.2. Алкогольная болезнь печени (биоптат печени, окраска г/э, х200). Алкогольный гепатит на фоне диффузного крупнокапельного ожирения гепатоцитов. Фиброз

В цитоплазме гепатоцитов выявляется алкогольный гиалин (тельца Мэллори), который представляет собой эозинофильные включения, состоящие из конденсированных промежуточных микрофиламентов цитоскелета. Тельца Мэллори характерны для алкогольного поражения печени, однако, также могут встречаться при ПБЦ, болезни Вильсона-Коновалова, раке печени и т.д.

Имеется в той или иной степени выраженный перивенулярный и перисинусоидальный фиброз преимущественно вокруг центральных вен, очаговая инфильтрация долек нейтрофилами с некрозом гепатоцитов в зоне инфильтрации. В различной степени выраженные фиброзные изменения и воспалительная клеточная инфильтрация наблюдаются также в портальных трактах.

Цирроз печени. В начальной стадии цирроз обычно микронодулярный. Формирование узлов происходит относительно медленно вследствие ингибирующего действия алкоголя на регенерацию печени. В ряде случаев выраженного воспаления не наблюдается, что позволяет предположить возможность развития цирроза через стадию перицеллюлярного и септального фиброза (рис. 6.3).

Алкогольный монолобулярный цирроз печени

Рис. 6.3. Алкогольный монолобулярный цирроз печени (секционный случай, окраска г/э, х200). Ложная долька, окруженная прослойкой фиброзной ткани

На поздних стадиях цирроз нередко приобретает черты макронодулярного, что ассоциировано с повышением риска развития гепатоцеллюлярной карциномы (ГЦК).

Для АБП характерно умеренное отложение гемосидерина в гепатоцитах и клетках Купфера, обусловленное повышенным всасыванием железа в кишечнике, высоким содержанием его в некоторых спиртных напитках, гемолизом, портокавальным шунтированием.

  • Клиническая картина при АБП
  • Диагностика и лечение АБП

События

Реклама: ООО «РЛС-Патент», ИНН 5044031277, erid=4CQwVszH9pWuokPrdWg

Реклама: ООО «РЛС-Патент», ИНН 5044031277

Реклама: Общероссийская общественная организация «Российское научное медицинское общество терапевтов», ИНН 7702370661

Реклама: ИП Вышковский Евгений Геннадьевич, ИНН 770406387105, erid=F7NfYUJCUneP5W78VwNF

Реклама: ИП Вышковский Евгений Геннадьевич, ИНН 770406387105, erid=F7NfYUJCUneP5W79xufv

Наш сайт использует файлы cookie, чтобы улучшить работу сайта, повысить его эффективность и удобство. Продолжая использовать сайт rlsnet.ru, вы соглашаетесь с политикой обработки файлов cookie.
;