Диагностика хронической HBV инфекции

Диагностика хронической HBV инфекции. Диагноз хронической HBV инфекции ставится на основании выявления в сыворотке крови HBsAg. Дальнейшее обследование проводится для выяснения необходимости противовирусной терапии. С этой целью исследуют сыворотку крови на HBeAg и HBV DNA. Диагностические маркеры хронической HBV инфекции и их интерпретация указаны в табл. 4.2.

Таблица 4.2. Диагностические маркеры хронической HBV инфекции.

Репликативная фаза HBsAg, HBeAg, HBV DNA, anti-HBc IgG
Не (низко) репликативная фаза HBsAg, anti-HBe, anti-HBc IgG
Прекоровые мутанты (см. главу 3) HBsAg, HBV DNA, anti-HBe, anti-HBc IgG

Об активности патологического процесса можно судить по уровню аминотрансфераз сыворотки крови (АЛТ и АСТ), которые отражают степень повреждения печени. В связи с отсутствием прямой корреляции между степенью некровоспалительной активности в ткани печени и уровнем АЛТ и АСТ, а также для определения стадии заболевания проводится гистологическое исследование ткани печени, которую получают методом пункционной биопсии.

Морфологические признаки хронического гепатита В. В биоптатах печени обнаруживают дистрофию и некроз гепатоцитов, воспалительную клеточную инфильтрацию и фиброзные изменения в дольках и портальных трактах (табл.4.3). Очень характерна гидропическая дистрофия гепатоцитов (рис. 4.4), реже - крайняя ее форма – баллонная дистрофия. Некроз гепатоцитов имеет вид цитолитического (колликвационного) или “Ацидофильного” (коагуляционного). В последние годы приводятся данные об апоптозе (программированной смерти) гепатоцитов. Повреждение и деструкция гепатоцитов обусловлены действием иммунных механизмов при участии Т-лимфоцитов, продукты распада клеток, в свою очередь, захватываются макрофагами. Поэтому очаги некроза паренхимы, как правило, содержат лимфоидно-макрофагальный инфильтрат (некро-воспалительная активность). Клетки инфильтрата (лимфоциты, макрофаги; в небольшом количестве плазмоциты и нейтрофилы) постоянно локализуются в портальных трактах.

Хронический вирусный гепатит B

Рис. 4.4. Хронический вирусный гепатит B (биоптат печени, окраска г/э, х100). Фиброзные септы с нарушением долькового строения печени, формирующаяся ложная долька. Гидропическая дистрофия гепатоцитов

Таблица 4.3. Морфологические признаки хронического гепатита В.

Гидропическая дистрофия гепатоцитов
Ацидофильные тельца (Каунсильмена)
Очаги некроза гепатоцитов
Лимфогистиоцитарная инфильтрация
Фиброз портальных трактов
“Матовостекловидные гепатоциты” - маркер HBsAg
“Песочные ядра” - маркер HBcAg

Очаги некроза отличаются по локализации и размерам. В дольках наблюдаются мелкие очаги некроза, содержащие клетки инфильтрата (пятнистые некрозы). Более крупные участки некроза – мостовидные, захватывают территорию двух соседних долек. Они делятся на порто-центральные (от портального тракта до центральной вены), см. рис. 4.5, и порто-портальные (от одного портального тракта до другого). Для хронического гепатита В характерны ступенчатые некрозы (рис. 4.6), которые локализуются в перипортальной зоне, на периферии долек и возникают в результате цитопатического действия клеток воспалительного инфильтрата, проникающих сюда из портальных трактов (другое, более позднее название этих изменений – “пограничный гепатит”).

Хронический вирусный гепатит B

Рис. 4.5. Хронический вирусный гепатит B (биоптат печени, окраска г/э, х200). Порто-центральный мостовидный некроз. В зоне некроза - лимфо-гистиоцетарный инфильтрат

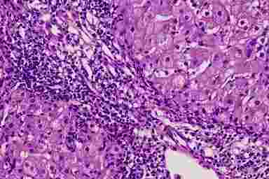
Хронический вирусный гепатит B

Рис. 4.6. Хронический вирусный гепатит B (биоптат печени, окраска г/э, х200). Ступенчатый некроз, лимфо-гистиоцитарная инфильтрация портального тракта и периферии дольки

При хроническом гепатите в ткани печени постоянно развиваются фиброзные изменения. В дольках на месте прежних мелких очагов некроза находят участки фиброза ретикулярной стромы. Воспалительная инфильтрация портальных трактов сопровождается их утолщением и фиброзом, после ступенчатых некрозов возникает перипортальный фиброз. На месте мостовидных некрозов образуются прослойки волокнистой соединительной ткани (порто-портальные и порто-центральные фиброзные септы). Фиброзные септы могут окружать формирующиеся регенераторные узлы, ложные дольки, что приводит к нарушению долькового строения печени (рис. 4.4) и в дальнейшем может вести к циррозу.

О вирусном гепатите В может свидетельствовать обнаружение “матово-стекловидных” гепатоцитов (содержат HBsAg), см. рис. 4.7., и реже – “песочных” ядер этих клеток (содержат HBcAg). В пользу вирусной природы гепатита свидетельствует выявление ацидофильных округлых телец Каунсильмена, образующихся в результате коагуляционного некроза гепатоцитов. Наличие HBsAg в гепатоцитах можно выявить при окраске по Шиката.

Хронический вирусный гепатит B

Рис. 4.7. Хронический вирусный гепатит B (биоптат печени, окраска г/э, х400). Матово-стекловидные гепатоциты

По выраженности некроза паренхимы и воспалительной клеточной инфильтрации (некро-воспалительная активность) определяют степень активности (тяжести) хронического гепатита: минимальная, умеренная, выраженная. Определяют также степень фиброза. Для более точного определения степени активности и фиброза при хроническом гепатите применяют полуколичественный анализ, оценивая выраженность гистологических признаков в баллах. Например, определяют “Индекс гистологической активности” (ИГА) по R. J. Knodell et al., 1981 – см. табл. 4.4. В соответствии с ИГА общее число баллов варьирует от 0 до 22. Активность (тяжесть) гепатита оценивается как минимальная при 1–3, мягкая (слабая) – 4-8, умеренная – 9-12, выраженная – 13 и более баллов. Основным недостатком ИГА является включение фиброза в систему подсчета, что может привести к завышению уровня активности гепатита. В последующих системах подсчета по баллам некро-воспалительная активность и степень фиброза рассматриваются отдельно (P.J. Schener, 1991; K. Ishak et al., 1995 и др.). Гистологическая стадия хронического гепатита отражает предыдущую активность некротического и воспалительного процесса и характеризуется степенью фиброза и развитием цирроза (табл. 4.5).

Таблица 4.4. Индекс гистологической активности (по R. J. Knodell et al., 1981, с сокращениями).

Гистологический признак Число баллов
Перипортальные некрозы и мостовидные некрозы 0 –10
Внутридольковые дистрофия и очаговые некрозы 0 – 4
Портальное воспаление 0 – 4
Фиброз (включая цирроз) 0 – 4

Таблица 4.5. Полуколичественная система учета степени фиброза печени при определении стадии хронического гепатита (по В.В. Серову, 1996)

Степень фиброза Признаки Баллы
Отсутствует Нормальные портальные тракты 0
Слабый Фиброз и расширение портальных трактов, перипортальный фиброз. 1
Умеренный Перипортальный фиброз, порто-портальные септы 2
Тяжелый Порто-центральные септы, фиброз с нарушением долькового строения печени 3
Цирроз Сформированный цирроз 4

Хроническая HBV инфекция и алкоголь. Распространенность HBV инфекции среди алкоголиков в 2 – 4 раза выше, чем в общей популяции. Алкоголизм в сочетании с HBV инфекцией приводит к более тяжелому повреждению печени и способствует развитию цирроза и гепатоцеллюлярной карциномы. Продолжительность жизни неинфицированных алкоголиков выше, чем инфицированных. Однако, окончательно не известно, являются ли алкоголь и HBV независимыми повреждающими печень факторами, или действуют синергично.

Сочетание HBV с HCV или HDV. У 10 – 15% больных с ХГВ, циррозом печени или ГЦК выявляется HCV. Коинфекция HCV может удлинить инкубационный период заболевания, уменьшить срок HBsAg-емии, уменьшить пиковое значение сывороточных трансаминаз в сравнении с моноинфекцией HBV. В то же время, имеются данные о том, что острая коинфекция HCV и HBV может протекать в форме фульминантного гепатита.

Суперинфекция HCV у носителей HBsAg снижает уровень HBV DNA в сыворотке крови и ткани печени и повышает скорость сероконверсии HBsAg в anti-HBs. У большинства пациентов с двойной инфекцией (HBV и HCV)в сыворотке крови можно выявить HCV RNA, а не HBV DNA, что свидетельствует о способности вируса гепатита С подавлять репликацию HBV и определять течение болезни. Поражение печени у лиц с двойной инфекцией обычно тяжелее, чем при моноинфекции вирусом гепатита В. У этих больных чаще, чем при инфицировании одним вирусом, развивается ГЦК.

Острая коинфекция HBV и HDV протекает более тяжело, чем моноинфекция HBV и чаще приводит к фульминантному течению гепатита. Суперинфекция HDV у пациентов с хронической HBV инфекцией обычно сопровождается прекращением (супрессией) репликации HBV. Большинство исследователей полагают, что HDV суперинфекция приводит к более тяжелому повреждению печени и прогрессированию в цирроз, другие авторы это мнение не разделяют.

HBV инфекция и ГЦК. Повсеместно ГЦК занимает третье место по смертности от онкологических заболеваний среди мужчин и седьмое место среди женщин. Чаще всего эта форма рака встречается в эндемичных для HBV зонах.

События

Реклама: ООО «РЛС-Патент», ИНН 5044031277, erid=4CQwVszH9pWuokPrdWg

Реклама: ООО «РЛС-Патент», ИНН 5044031277

Реклама: Общероссийская общественная организация «Российское научное медицинское общество терапевтов», ИНН 7702370661

Реклама: ИП Вышковский Евгений Геннадьевич, ИНН 770406387105, erid=F7NfYUJCUneP5W78VwNF

Реклама: ИП Вышковский Евгений Геннадьевич, ИНН 770406387105, erid=F7NfYUJCUneP5W79xufv

Наш сайт использует файлы cookie, чтобы улучшить работу сайта, повысить его эффективность и удобство. Продолжая использовать сайт rlsnet.ru, вы соглашаетесь с политикой обработки файлов cookie.
;